I nostri servizi per la salute e la bellezza del sorriso

Trattamenti odontoiatrici su misura
Lo
Studio dentistico del Dr. Attilio Fiaccabrino offre un’ampia gamma di trattamenti dedicati alla
cura, alla funzionalità e all’estetica del sorriso.
Ogni intervento nasce da una
diagnosi accurata e da un
piano terapeutico personalizzato, costruito in base alle esigenze e alle aspettative di ciascun paziente.
Grazie a
tecnologie moderne e a un approccio attento e umano, lo studio garantisce
soluzioni sicure, durature e confortevoli, in un ambiente accogliente e professionale.

Implantologia
L’implantologia consente di sostituire uno o più denti mancanti con
impianti moderni e biocompatibili, che fungono da radici artificiali su cui vengono applicate protesi fisse.
Questo trattamento permette di
ripristinare la funzionalità masticatoria e l’estetica del sorriso in modo stabile e naturale, senza ricorrere a protesi mobili.
Lo studio utilizza
tecniche minimamente invasive e materiali di alta qualità per garantire una perfetta integrazione e risultati estetici armoniosi.

Ortodonzia Invisibile
La
ortodonzia invisibile rappresenta l’evoluzione moderna dell’allineamento dentale.
Attraverso l’uso di
aligner trasparenti e removibili, è possibile correggere la posizione dei denti in modo graduale, discreto e confortevole.
Questo metodo è ideale per adulti e adolescenti che desiderano migliorare il sorriso
senza ricorrere ai tradizionali apparecchi metallici.
Il trattamento è personalizzato e viene seguito passo dopo passo dal team dello studio, per assicurare
risultati precisi e duraturi.

Odontoiatria Estetica
Un sorriso armonioso è sinonimo di benessere e fiducia.
I trattamenti di
estetica dentale proposti dallo studio includono
sbiancamento professionale,
ricostruzioni estetiche e
faccette in ceramica o composito, pensati per migliorare forma, colore e proporzioni dei denti.
Grazie all’uso di materiali di ultima generazione, il risultato è sempre
naturale, luminoso e in equilibrio con il volto.

Medicina estetica del viso
Oltre alla salute orale, lo studio offre
trattamenti di medicina estetica non invasiva con filler a base di acido ialuronico, ideali per
ridefinire i contorni del viso,
ridurre le rughe e
donare freschezza ai lineamenti.
Ogni trattamento è eseguito in totale sicurezza, rispettando le proporzioni del volto e la naturale espressività del paziente.
L’obiettivo è armonizzare il sorriso con il viso, per un
risultato equilibrato e naturale.

Igiene orale e prevenzione
La prevenzione è la base di un sorriso sano.
Le
sedute periodiche di igiene orale professionale consentono di rimuovere placca e tartaro, prevenendo carie, gengiviti e malattie parodontali.
Durante la visita vengono fornite
indicazioni personalizzate per la cura quotidiana dei denti e delle gengive, al fine di mantenere nel tempo i risultati ottenuti con le cure odontoiatriche.

Conservativa e endodonzia
Attraverso le moderne tecniche di
odontoiatria conservativa e
endodonzia, lo studio interviene per salvare i denti compromessi da carie o traumi, evitando estrazioni inutili.
L’uso di strumenti di precisione e materiali estetici di ultima generazione permette di
ricostruire i denti danneggiati mantenendo un aspetto perfettamente naturale e funzionale.

Chirurgia orale
Lo studio esegue interventi di
chirurgia orale (come estrazioni, rigenerazioni ossee e piccoli interventi gengivali) in totale sicurezza e comfort per il paziente.

Parodontologia
La parodontologia si occupa invece della salute delle gengive e del tessuto di supporto dei denti, con trattamenti mirati per prevenire e curare la piorrea e preservare la stabilità del sorriso nel tempo.

La tua salute dentale in mani sicure
Qualunque sia la tua esigenza — funzionale, estetica o preventiva — lo
Studio dentistico del Dr. Attilio Fiaccabrino ti accompagnerà con
professionalità, trasparenza e attenzione in ogni fase del percorso di cura.
Prenota una
visita di valutazione e scopri come ritrovare il piacere di sorridere con fiducia.
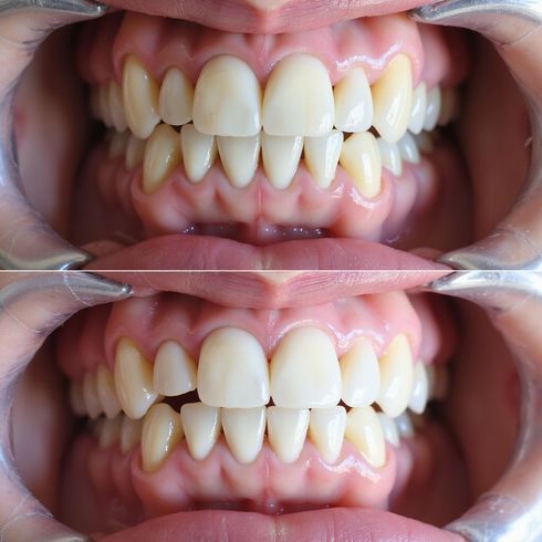
Risultati Visibili dei Nostri Trattamenti
Qualità e precisione in ogni sorriso restaurato




Domande Frequenti FAQ
Quali sono i vantaggi dell’implantologia dentale?
L’implantologia offre una soluzione stabile e duratura per sostituire i denti mancanti, migliorando la funzionalità masticatoria e l’estetica del sorriso con protesi dall’aspetto naturale.
Come funziona l’ortodonzia invisibile?
Gli aligner trasparenti sono dispositivi rimovibili che correggono l’allineamento dentale senza l’ingombro degli apparecchi tradizionali, garantendo comfort e discrezione durante il trattamento.
I trattamenti estetici con filler sono sicuri?
I filler utilizzati sono materiali biocompatibili applicati da professionisti esperti, con procedure controllate per migliorare i contorni del viso in modo naturale e senza rischi significativi.
Quanto dura una visita di valutazione?
La prima visita dura generalmente 30-45 minuti, durante la quale si esegue una diagnosi accurata e si definisce un piano terapeutico personalizzato in base alle esigenze del paziente.
Prenota la tua consulenza personalizzata
Un appuntamento per il sorriso che meriti
Contatta Studio Dentistico Fiaccabrino per una valutazione mirata. La consulenza individuale permette di definire il percorso più adatto alle tue esigenze, garantendo trattamenti efficaci e risultati duraturi. Fissa ora il tuo appuntamento e metti al primo posto la salute e l’estetica del tuo sorriso.
Contattaci
Ti risponderemo il più presto possibile.
Riprova in un secondo momento.
Contattaci via Email
info@fiaccabrinodentista.it
Indirizzo Studio
Viale Leonardo Sciascia, 218 - 92100 Agrigento (AG)
Telefono Studio



